fMRI shows increased blood flow to frontal areas of brain and decreased blood flow in pons and cerebellum
Summary: A new study using functional magnetic resonance imaging (fMRI) suggests that Transcendental Meditation is associated with a unique state of “restful alertness.” The study, which monitored blood flow, found that, compared to eyes-closed rest, during Transcendental Meditation there was increased activity in the prefrontal cortex, indicating the sort of alertness also seen in other meditations. However, unlike other meditations, there was decreased activity in the cerebellum and pons, indicating deep rest.
***

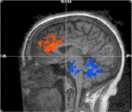
fMRI images show significant areas of activation during Transcendental Meditation compared to resting with eyes closed. Areas of activation (orange) included the anterior cingulate gyrus and the dorsolateral prefrontal cortex. Areas of deactivation (blue) included the pons and cerebellum. These findings suggest the mind is alert but that mind and body are in a deeply restful state.
The Transcendental Meditation technique is said to lead to a state of “restful alertness,” and now a new study in Brain and Cognition using brain-imaging supports the assertion that during the practice one’s mind is alert but that both mind and body are in a deep state of rest.
Functional magnetic resonance imagining (fMRI) patterns of 16 subjects during their practice of Transcendental Meditation found that, like meditations that involve focused attention or open monitoring, there was increased activity in the areas of the prefrontal cortex related to attention – indicating alertness. However, unlike other meditations, during Transcendental Meditation there was also decreased activity in the areas related to arousal – indicating deep rest.
“Given the wide variety of meditations that are practiced today, it’s important to distinguish among them in order to see the different ways they affect the brain,” said Michelle Mahone, lead author. “It makes sense that different approaches to meditation would use the brain in different ways.”
A state of restful alertness
Maharishi Mahesh Yogi, who introduced Transcendental Meditation in the West, taught that TM practice leads to this state of restful alertness. And over the past decades, researchers have sought to verify this claim scientifically.
Early research suggested that Transcendental Meditation practice lowers sympathetic nervous activity, as indicated by a reduction in skin conductance and plasma lactate – two physiological markers of sympathetic functioning – and a decrease in breath rate.
“This reduction in sympathetic activation results from gaining the state of restful alertness during Transcendental Meditation practice,” said Fred Travis, a coauthor of the study. “This restful alertness is the key to Transcendental Meditation. It’s a very different kind of rest than sleep. It’s rejuvenating and healing, as evidenced by a wide range of clinical studies, while at the same time it allows the person to experience deeper mental states – with profound implications, such as an ongoing experience of transcendence.”
The restfully alert state gained during Transcendental Meditation is more than a concept, Dr. Travis says. “These blood flow patterns give a physiological picture of the reality of restful alertness in the mind and body.”
Increased blood flow to prefrontal cortices
The sixteen subjects, who had been practicing Transcendental Meditation an average of 34 years, were each tested as they meditated for 10 minutes while the blood flow in their brain was monitored by an fMRI scan.
Compared to just resting peacefully with their eyes closed, the fMRI scan found an increase in blood flow in the bilateral anterior cingulate gyrus and bilateral dorsolateral prefrontal cortices – areas of the brain’s prefrontal cortex associated with attention and executive functions such as decision making, reasoning, working memory, inhibition, and reward anticipation.
Frontal blood flow is also reported during other meditations and indicates that the mind is alert.
Decreased blood flow to pons and cerebellum
However, unlike other meditations, during Transcendental Meditation there was a decrease in blood flow to the pons and cerebellum. The pons modulates the individual’s overall state of arousal and governs breath and heart rates. The decrease in activity in this brain area supports the experience during Transcendental Meditation of a deeply silent mind and rested body.
The cerebellum modulates the speed and variability of information processing, both related to coordination and motor control and to cognitive functions such as attention and language. The decrease in activity suggests that the body reverts to a more automatic mode without the need of cognitive effort to exert control.
Together the decrease in activity in the pons and cerebellum activity suggests an overall reduction in cognitive control and executive processing during Transcendental Meditation – as if the attentional system is at a balance point ready to act when needed, Dr. Travis said.
“By using the mind in a specific way, restfulness follows,” Dr. Mahone said. “While this may seem contradictory, this finding is compatible with other research supporting that meditation could be key to balancing the autonomic nervous system and improving quality of life.”
Natural tendency of the mind
This state of restful alertness is said to result from correct practice of Transcendental Meditation: without effort.
“Transcendental Meditation is effortless because it follows the natural tendency of the mind,” Dr. Travis said. “One begins the practice in a simple way, and then it goes automatically, without any analyzing or intention. Maharishi said that it simply follows the natural tendency of the mind to settle down to quieter states if given the opportunity.”
***
About the Transcendental Meditation Technique
Transcendental Meditation® is a simple, natural technique practiced 20 minutes twice each day while sitting comfortably with the eyes closed. It is easily learned, and is not a religion, philosophy, or lifestyle. It doesn’t involve concentration, control of the mind, contemplation, or monitoring of thoughts or breathing. The practice allows the active thinking mind to settle down to a state of inner calm. For more information visit http://www.tm.org.
***
“fMRI during Transcendental Meditation practice”
Michelle C. Mahone, Fred Travis, Richard Gevirtz, David Hubbard
Brain and Cognition 123 (2018) 30–33
***
Reports: EurekAlert | Health Imaging: fMRI confirms state of ‘restful alertness’ during transcendental meditation | EUPB | Press Locker | Bioengineer.org | Science Newsline: Medicine | INTO.AI | The London Economic | Scicasts | SCIENMAG | The British Psychological Society’s Research Digest wrote an impressive review of the study (April 16, 2018) in their section: Brain, In Brief: First ever neuroimaging study of people in the midst of Transcendental Meditation.
Check out this infographic comparing different meditation techniques.


