A new EEG study conducted on college students at American University found they could more highly activate the default mode network, a suggested natural “ground state” of the brain, during their practice of the Transcendental Meditation technique. This three-month randomized control study is published in a special issue of Cognitive Processing dedicated to the Neuroscience of Meditation and Consciousness, Volume 11, Number 1, February, 2010.
Specifically, the study found the TM technique:
- Produces a unique state of “restful alertness,” as seen in the markedly higher alpha power in the frontal cortex and lower beta and gamma waves in the same frontal areas during TM practice.
- Creates greater alpha coherence between the left and right hemispheres of the brain suggesting the brain is working as a whole.
- Enhances an individual’s sense of “self” by activating what neuroscientists call the “default mode network” in the brain. (This is considered the natural ground state of the brain, glimpsed by neuroscientists during eyes-closed rest but more fully activated during Transcendental Meditation practice.)
“The finding of significant brain wave differences between students practicing the Transcendental Meditation technique and those simply resting with their eyes closed is especially convincing because subjects were randomly assigned to conditions, and testing was conducted by a researcher unaware of the experimental condition to which the subject had been assigned,” said David Haaga, Ph.D., coauthor and professor of psychology at American University.
“Research has already shown that simply closing one’s eyes and relaxing increases the default mode. A significant additional finding of this new study is that activity in the default mode increases during TM compared to simple eyes-closed rest,” said Fred Travis, Ph.D., lead author and director of the Center for Brain, Consciousness, and Cognition at Maharishi University of Management. “Different meditation techniques entail various degrees of cognitive control. Thus, activation patterns of the default mode network could give insight into the nature of meditation practices.”
Previous published research, funded by the NIH, shows TM practice decreases high blood pressure, atherosclerosis, cholesterol, stroke, and heart failure.
Comparative EEG Tracings
These raw EEG tracings during eyes-closed rest (left) and Transcendental Meditation (right) represent 18 tracings over 6 seconds. The top tracings are from frontal sensors; the middle tracings are from central sensors; the bottom tracings are from parietal and occipital sensors [back]. Note the high-density alpha activity in posterior leads during eyes-closed rest, and the global alpha bursts across all brain areas during Transcendental Meditation practice.
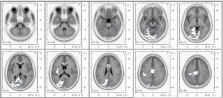
eLORETA Images of Significance Differences
These are eLORETA images of sources of alpha EEG during TM compared to eyes-closed rest in the default mode network (the white areas).
Images credit: Cognitive Processing, Volume 11 (2010), Issue 1
Article title: A self-referential default brain state: patterns of coherence, power, and eLORETA sources during eyes-closed rest and Transcendental Meditation practice, DOI: 10.1007/s10339-009-0343-2. Also on PubMed.
Laboratory Note: The work of the Center for Brain, Consciousness, and Cognition at Maharishi University of Management is summarized and featured in this same issue: 
Tags: American University, Center for Brain Consciousness and Cognition, Consciousness, default mode network, eeg, eLORETA, Maharishi University of Management, National Institutes of Health, Neuroscience of Meditation and Consciousness, Transcendental Meditation



October 4, 2020 at 3:00 pm |
[…] the DMN is also activated during the effortless practice of the Transcendental Meditation technique as practitioners […]
LikeLike